Unter dem Begriff "Traumatologie des Bewegungsapparates" findet man im Wikipedia folgende Erklärung:
Die Traumatologie ist die Wissenschaft von den Verletzungen und Wunden sowie deren Entstehung und Therapie.
In der Orthopädie "beschränkt" sich dieses Gebiet auf die Versorgung von Unfallpatienten mit Verletzungen der Gelenke, Knochen, Bänder und Muskeln.
Verkehrsunfälle, Sportverletzungen oder auch einfache Stürze in der häuslichen Umgebung führen oft zu gravierenden Verletzungen des Bewegungsapparates. Eine rasche und kompetente Beurteilung sowie Behandlung ist wichtig, um spätere Komplikationen zu vermeiden.
.

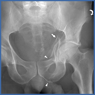
Verletzung des linken Beckenknochens; genauer des linken Hüftgelenkes. Der tragende Anteil der Hüftpfanne wurde durch die Wucht des Oberschenkelkopfes eingedrückt und zerborsten.

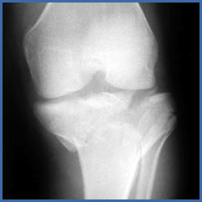
Verletzung des Unterschenkels mit Beteiligung des Kniegelenkes; genauer eine Tibiaplateau-Fraktur. Zusätzliche Strukturen wie Kreuz-, Seitenbänder oder Mensikus können verletzt sein. Die Harmonie der Gelenksfläche ist ebenfalls zerstört.