Als eigentliches Kugelgelenk ist es simpel aufgebaut und besteht aus zwei knöchernen Bestandteilen, dem Beckenknochen und der Gelenkspfanne, in die der Oberschenkelkopf idealerweise perfekt hineinpasst. Mit Hilfe von stabilisierenden Bändern und dem harmonischen Zusammenspiel einer Vielfalt von Muskeln ist es uns möglich sich auf verschiedene Arten zu bewegen; sei dies gehen, laufen oder springen.

Die Komplexität und Harmonie des Hüftgelenkes ist nicht immer gegeben. Fehlformen können sich bereits bei der Geburt oder als Kleinkind zeigen. Deshalb werden heute regelmässig die Hüftgelenke der Neugeborenen mittels Ultraschall untersucht.
Wird dieser Zeitpunkt verpasst oder kommt es zu einem späteren Zeitpunkt zu entwicklungsbedingten Fehlformen, so kann in der frühen Phase durch korrigierende Eingriffe (Umstellungsosteotomie) versucht werden, die Anatomie wieder herzustellen. Beim jungen Erwachsenen kann die Gelenksspiegelung (Hüftarthroskopie) bereits zahlreiche Schäden beheben.
Bei grösseren Veränderungen die eine Arthroskopie nicht mehr korrigieren kann, muss das Gelenk eröffnet und luxiert werden. Dies ist durch eine chirurgische Hüftluxation möglich. Beide Eingriffe verstehen sich als gelenkserhaltende Operationen.
Ist jedoch eine fortgeschrittene Knorpelveränderung resp. Abnützung vorhanden, ist es oft nicht mehr möglich das Gelenk zu erhalten. In diesem Fall muss zur Verbesserung der Beweglichkeit und Schmerzlinderung das Gelenk ersetzt werden, eine Hüftgelenksprothese wird implantiert.
Aus verschiedenen Gründen kann es zu einem Missverhältnis zwischen dem Platzangebot der Hüftgelenkspfanne und des Schenkelhalses kommen. Dies führt dazu, dass das freie Gelenkspiel bereits bei alltäglichen Bewegungen ansteht.
Diese Form der eingeschränkten Beweglichkeit wird in der Hüftgelenkschirurgie als femoroacetabuläres Impingement bezeichnet. Dabei steht der Ausdruck "femoro" für die Veränderungen des Oberschenkels, "acetabulär" für jene im Bereiche der Gelenkspfanne.
Ein zu starkes Umfassen des Oberschenkelkopfes durch die Pfanne wird als Pincer-Impingement bezeichnet. "Pincer" als Bezeichnung der Beisszange. Eine fehlende Taillierung des Schenkelhalses führt zu einem verfrühten Anschlagen am Rande der Pfanne; dies wird als Cam-Impingement bezeichnet. "Cam" als Bezeichung für Nockenwelle.
Viele dieser Formen können heute mit einer Gelenksspiegelung (Arthroskopie) behoben werden. So können zum Beispiel Knochenanlagerungen abgetragen werden und Defekte auf Stufe der Gelenkslippe wieder fixiert werden.

Mechanische Einengung durch fehlende Taillierung des Schenkelhalses resp. mangelnde Asphärizität des Kopfes. In dieser Konstellation kommt es ebenfalls zu Verletzungen der Gelenkslippe sowie auf Dauer zur Zerstörung des Gelenkknorpels.

Mechanische Einengung durch zu starkes Umfassen der Pfanne. Bei bereits alltäglichen Bewegungen stösst der Schenkelhals am Pfannenrand an. Dies hinterlässt nicht nur Spuren am Schenkelhals, es wird auch die stabilisierende Gelenkslippe verletzt.

Mit einer Gelenksspiegelung (Arthroskopie) können zahlreiche Verletzungen und anatomische Varianten beurteilt und korrigiert werden.
Der Vorteil der Arthroskopie liegt darin, dass der Eingriff mittels Stichinzisionen (kleine Hautschnitte) durchgeführt werden kann. Das Ablösen von Muskeln oder das Durchtrennen des Knochens ist nicht erforderlich und somit ist die Belastbarkeit des Gelenkes deutlich rascher möglich.
Mit verschiedener Videokameras können alle Winkel des Gelenkes eingesehen werden und unter Anwendung von Spezialinstrumenten werden die verletzten Strukturen operiert.
Die Abbildung links zeigt wie der Operateur das Gelenk einsehen kann.
Die chirurgische Hüftluxation (CHL) ist eine Operationstechnik zur Behandlung von Deformitäten der Hüftgelenkspfanne oder des Oberschenkelhalses. Bestimmte Deformitäten führen zu einer eingeschränkten Bewegungsfreiheit im Hüftgelenk und können unbehandelt zu Schmerzen und Arthrose bereits bei jungen Patienten führen. Die Ursache für einen eingeschränkten Bewegungsumfang der Hüfte kann ein zu dicker Schenkelhals (Cam- Impingement) oder eine zu tiefe Pfanne (Pincer-Impingement) sein.

Bei der chirurgischen Hüftluxation wird das Gelenk schonend ausgerenkt, indem ein Stück des Oberschenkelknochens abgetrennt wird. Somit muss keine Muskulatur abgelöst oder durchtrennt werden.

Beim Cam-Impingement wird Knochen vom Schenkelhals entfernt um den Bewegungsumfang im Hüftgelenk zu verbessern

Beim Pincer-Impingement wird Knochen vom Pfannenrand entfernt um den Bewegungsumfang im Hüftgelenk zu verbessern

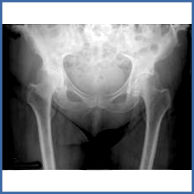
Ist die Abnutzung des Gelenkknorpels schon so weit fortgeschritten, dass ein Gelenkserhalt nicht mehr möglich ist, muss das Gelenk ersetzt werden. Man spricht in diesem Stadium von einer Arthrose.
Das Röntgenbild links zeigt bereits eine ausgeprägte Gelenkspaltverschmälerung und Deformierung der Gelenkfläche.
Dank neuen Implantaten, Operationsinstrumenten und intraoperativen Lagerungsmöglichkeiten stehen uns mittlerweile Wege offen, auch bei fortgeschrittenen Arthrosen mit geringem Aufwand das Gelenk ersetzen zu können.

Minimalinvasiv heisst nicht eine möglichst kleine Operationsnarbe; man versteht darunter, dass nur wenige anatomische Strukturen weggehalten oder nur teilweise abgelöst werden müssen. Nur so ist eine sofortige Belastung möglich resp. erlaubt.
Diese Operationstechniken sind mittlerweile auch bei Revisions-Operationen möglich, z.B. bei einer gelockerten Prothese, oder bei einem Materialbruch.
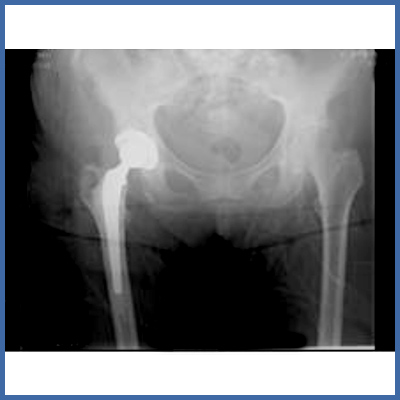
Das Röntgenbild nach Implantation der Hüftprothese.