Im Gegensatz zum Hüftgelenk ist die knöcherne Führung des Kniegelenkes deutlich weniger stabil. Die verminderte knöcherne Stabilität wird durch die Kreuz- und Seitenbänder, Menisken und Muskulatur kompensiert. Nur das optimale Zusammenspiel zwischen sämtlichen Strukturen ermöglicht dem Kniegelenk seine Beuge-, Streck- und Drehbewegung. Eine Störung dieser anatomischen Komponenten führt zwangsläufig auf Dauer zu Beschwerden. Eine frühzeitige Abklärung der Ursache ist sinnvoll, nur so können Folgeschäden vermieden werden.

Bei einer Kreuzbandverletzung leidet der Innen- und/oder Aussenmeniskus, weil die Stossdämpferfunktion verloren geht. Die Entwicklung einer Arthrose ist die Folge.
Mit einer Kniearthroskopie (Gelenksspiegelung) können die Ursachen der Beschwerden optimal beurteilt und therapiert werden.
Eine Fehlbelastung im Kniegelenk tritt aber auch bei angeborenen Achsenfehlstellungen der Beine (O- resp. X-Beine) auf. Warum also warten, bis die Schäden so weit fortgeschritten sind, dass das Gelenk komplett (Knie-Totalprothese) oder Teile davon (Unikompartimentäre Knieprothese) ersetzt werden müssen, oder wenn die Achsenstellung noch ausgeglichen resp. korrigiert werden kann (Umstellungsosteotomie)?
Abbildung: Anatomischer Aufbau Kniegelenk
Durch die Kniegelenksspiegelung können Verletzungen des Meniskus, Kreuzbänder und kleinere Defekte des Knorpels behoben werden.
Dieser Eingriff kann in der Regel durch eine Rückenmarksanästhesie durchgeführt werden. Heute wird dieser Eingriff ambulant durchgeführt. Sie können also am Morgen der Operation ins Spital eintreten und noch am selben Abend wieder nach Hause. Je nach Verletzung und zu operierender Struktur muss eine Stockentlastung durchgeführt werden werden.
Abbildung links: Mittels kleinen Hautschnitten werden die Instrumente ins Gelenk eingeführt. Über eine Kamera kann der Operateur auf einem Bildschirm die Arbeit im Gelenk verfolgen und koordinieren.

Bei stark fortgeschrittener Abnutzung des Gelenkknorpels (Arthrose) ist die Beweglichkeit oft massiv eingeschränkt. In diesen Fällen ist meistens ein Gelenkersatz unumgänglich.
Eine genaue Untersuchung des betroffenen Gelenkes und die zusätzliche Information eines aktuellen Röntgenbildes helfen bei der Entscheidungsfindung, welches Produkt am besten ist.
Es empfiehlt sich nach der Operation aufgrund der noch vorhandenen Schmerzen (i.d.R. Wundschmerzen) Unterarm-Gehstöcke zu verwenden. Die Belastbarkeit der Prothese ist aber frei gegeben.

Ist "nur" eine Seite (ein Kompartiment) des Kniegelenkes von der Arthrose befallen, genügt es in der Regel, nur diese zu operieren.
Man spricht dann von einer sogenannten Schlittenprothese oder Unikompartimentären Prothese. Die Implantation einer Totalprothese ist in solchen Fällen nicht erforderlich.
Die Unikompartimentäre Prothese ersetzt nur die eine, defekte Seite des Kniegelenkes. Kreuz- und Seitenbänder müssen intakt sein. Die Gegenseite bleibt unangetastet.
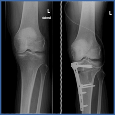
Unter dem Begriff der "Umstellungsosteotomie" versteht man u.a. die operative Korrektur von Achsenabweichungen.
Dieser Eingriff wird bei X-oder O-Beinen angewendet. Ziel der Operation ist es, den durch die Fehlstellung überlasteten Gelenksbereich zu entlasten und die Belastungsachse in den noch gesunden Gelenksabschnitt zu verlagern.
Das Verpassen des Zeitpunktes zur Umstellung hätte die Entwicklung einer Arthrose zu Folge, ein Gelenkserhalt wäre nicht mehr möglich. Es gilt frühzeitig die Symptome ernst zu nehmen und die erforderlichen Abklärungen durchzuführen.

Bild links: Kniegelenk VOR und NACH einer Umstellungsosteotomie.
Das O-Bein hat nun eine gerade Achse.